뇌졸중 전조증상 5가지 알아두기
목차
1.뇌졸중 전조증상 5가지
뇌졸중은 급격히 진행되는 질환으로 전조증상을 미리 인지하는 것이 중요합니다. 다음은 주요 전조증상 5가지입니다:
1-1.갑작스러운 편측 마비
· 얼굴, 팔, 다리 등 한쪽이 갑자기 마비될 수 있습니다. 이는 뇌의 특정 부위에 혈류가 차단되어 발생하는 증상입니다.
· 예시: 물건을 들거나 잡으려 할 때 한쪽 손에 힘이 들어가지 않음.
1-2.말하기 어려움
· 갑자기 말을 잘 못하거나 이해하기 어려울 수 있습니다. 이는 언어를 담당하는 뇌 영역에 문제가 생겼음을 시사합니다.
· 예시: 간단한 문장을 말하려 할 때 말이 어눌해지거나, 다른 사람이 하는 말을 이해하지 못함.
1-3.시야 장애
· 한쪽 또는 양쪽 눈의 시야가 갑자기 흐려지거나 시야가 좁아질 수 있습니다. 이는 뇌의 시각 정보를 처리하는 부위에
문제가 발생했음을 나타냅니다.
· 예시- 시야의 일부분이 보이지 않거나, 시야가 갑자기 흐려짐.
1-4.갑작스러운 심한 두통
· 원인 모를 심한 두통이 갑자기 발생할 수 있습니다. 이는 뇌 내부에 출혈이 발생했을 가능성을 의미합니다.
· 예시: 평소에 경험하지 못한 강력한 두통이 갑자기 나타남.
1-5.걷기 어려움
· 균형을 잃거나 어지러움을 느껴 걷기 어려울 수 있습니다. 이는 뇌의 균형을 담당하는 부위에 문제가 생겼음을
시사합니다.
· 예시- 걸을 때 비틀거리거나, 한쪽으로 치우침.



2. 뇌졸중 초기증상
초기 증상은 빠르게 인지하고 대응하는 것이 중요합니다. 초기 증상은 다음과 같습니다:
2-1 얼굴의 비대칭
· 웃을 때 한쪽 입꼬리가 올라가지 않음. 이는 얼굴 근육을 제어하는 뇌 영역에 문제가 생겼음을 나타냅니다.
· 예시: 거울을 보며 웃을 때 한쪽 입꼬리가 처짐.
2-2 팔의 힘 빠짐
· 팔을 들어 올릴 때 한쪽 팔이 내려옴. 이는 팔의 근육을 제어하는 뇌 영역에 문제가 생겼음을 시사합니다.
· 예시: 두 팔을 동시에 들어보는데 한쪽 팔이 떨어짐.
2-3 말의 이상
· 말이 어눌하거나 이해하기 어려움. 이는 언어를 담당하는 뇌 부위에 문제가 발생했음을 나타냅니다.
· 예시: 간단한 문장을 말하려 할 때 발음이 어눌하거나, 이해 불가.
2-4 갑작스런 시력 저하
· 한쪽 또는 양쪽 눈의 시력이 급격히 저하됨. 이는 시각 정보를 처리하는 뇌 부위에 문제가 생겼음을 나타냅니다.
· 예시: 시야가 흐려지거나, 한쪽 눈이 잘 안 보임.
2-5 균형 감각 상실
· 걸을 때 비틀거리거나 어지러움을 느낌. 이는 뇌의 균형을 담당하는 부위에 문제가 생겼음을 시사합니다.
· 예시: 일어나서 걸을 때 비틀거리거나 넘어짐.
3. 뇌졸중 검사방법
뇌졸중이 의심되면 즉시 병원에 가서 검사를 받아야 합니다. 주요 검사 방법은 다음과 같습니다:
1-1 CT(컴퓨터 단층촬영)
· 뇌출혈과 같은 뇌졸중 유형을 확인하는 데 사용됩니다. CT 스캔은 뇌의 구조를 자세히 보여주며,
출혈의 유무를 신속하게 판별할 수 있습니다.
· 예시: 응급실에서 CT 스캔을 통해 뇌출혈 여부를 확인.
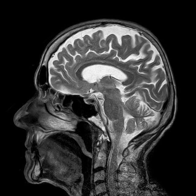
1-2 MRI(자기공명영상)
· 뇌의 구조와 혈류를 자세히 확인할 수 있습니다. MRI는 보다 정밀한 이미지를 제공하여 뇌의 손상 부위를 명확히 파악합니다.
· 예시- 뇌의 손상 지역을 정확히 파악하기 위해 MRI 촬영.



1-3 MRA(자기공명혈관조영술)
· 뇌혈관을 자세히 볼 수 있습니다. MRA는 혈관의 상태를 시각적으로 확인하여 혈전이나 협착 등을 진단합니다.
· 예시- 뇌혈관의 상태를 확인하기 위해 MRA 촬영.
1-4 혈액 검사
· 혈액 내 혈당, 콜레스테롤 등의 수치를 확인합니다. 이는 뇌졸중의 위험 요인을 파악하는 데 도움을 줍니다.
· 예시- 혈액 검사를 통해 당뇨나 고지혈증 여부 확인.



1-5 심전도(EKG)
· 심장 문제로 인한 뇌졸중 가능성을 확인합니다. 심전도 검사를 통해 심장의 리듬 이상이나 심장 질환을 진단합니다.
· 예시- 심전도 검사를 통해 심장 리듬 이상 여부 확인.
4. 뇌졸중 체크리스트
뇌졸중이 의심될 때 스스로 점검할 수 있는 체크리스트입니다:
4-1 얼굴
· 웃어보세요. 한쪽 얼굴이 처지나요? 이는 얼굴 근육을 제어하는 뇌 영역에 문제를 의미합니다.
· 예시- 거울을 보면서 웃을 때 한쪽 입꼬리가 올라가지 않음.
4-2 팔
· 두 팔을 들어보세요. 한쪽 팔이 내려가나요? 이는 팔의 근육을 제어하는 뇌 영역에 문제가 있음을 나타냅니다.
· 예시- 두 팔을 동시에 들어보는데 한쪽 팔이 떨어짐.
4-3 말
· 간단한 문장을 말해보세요. 말이 어눌하거나 이상한가요? 이는 언어를 담당하는 뇌 부위에 문제가 생겼음을
의미합니다.
· 예시- "오늘 날씨가 좋네요" 같은 문장을 말할 때 발음이 어눌함.
4-4 시간
· 이 증상이 나타난 시간을 기록하세요. 신속한 치료가 중요합니다. 증상이 나타난 시간을 정확 히 기록하는 것은
의료진이 신속하고 적절한 치료를 제공하는 데 중요한 정보를 제공합니다.



5. 뇌졸중 예방법
뇌졸중을 예방하기 위해 일상 생활에서 실천할 수 있는 방법들을 소개합니다:
5-1 규칙적인 운동
· 매일 30분 이상 유산소 운동을 하세요. 이는 혈압을 낮추고 혈액 순환을 개선하여 뇌졸중 위험을 줄입니다.
· 예시- 걷기, 자전거 타기, 수영 등.



5-2 건강한 식단
· 과일, 채소, 통곡물을 많이 섭취하고, 포화 지방과 콜레스테롤이 높은 음식을 피하세요.
이는 혈관 건강을 유지하는 데 도움을 줍니다.
· 예시- 지중해식 식단, 저염식 식사.



5-3 금연
· 담배를 끊는 것이 중요합니다. 흡연은 혈압을 높이고 혈관을 손상시켜 뇌졸중 위험을 증가시킵니다.
· 예시- 금연 프로그램 참여, 니코틴 패치 사용.



5-4 적정 체중 유지
· 체중을 적정 수준으로 유지하세요. 비만은 고혈압, 당뇨병과 같은 뇌졸중의 위험 요인을 증가시킵니다.
· 예시- 체중 감량을 위한 건강한 식단과 운동 계획 세우기
5-5 스트레스 관리
· 스트레스를 줄이고, 충분한 수면을 취하세요. 스트레스와 수면 부족은 혈압을 높이고 뇌졸중 위험을 증가시킵니다.
· 예시- 명상, 요가, 규칙적인 수면 패턴 유지.
6. 뇌졸중 치료방법
뇌졸중이 발생했을 때 신속한 치료가 중요합니다. 치료 방법은 다음과 같습니다:
6-1 응급 처치
· 뇌졸중 증상이 나타나면 즉시 119에 전화하세요. 신속한 응급 처치는 생명을 구하고 후유증을 줄이는 데 중요합니다.
· 예시- 뇌졸중 증상이 발생했을 때 즉시 응급실로 이송.
6-2 혈전 용해제
· 혈전을 용해하는 약물을 투여하여 혈류를 회복시킵니다. 이는 발병 후 3~4.5시간 이내에 투여해야 효과가 있습니다.
· 예시- 티슈 플라스미노겐 활성제(tPA) 투여.
6-3 항응고제
· 혈액 응고를 방지하는 약물을 사용하여 추가적인 혈전 생성을 막습니다.
· 예시- 와파린, 아스피린 등.
6-4 수술
· 특정 경우, 혈전을 제거하거나 출혈을 멈추기 위해 수술이 필요할 수 있습니다.
· 예시- 혈전 제거 수술, 뇌출혈 시 혈종 제거 수술.



6-5 재활 치료
· 뇌졸중 후 기능 회복을 위해 물리치료, 작업치료, 언어치료 등을 받습니다.
· 예시- 재활 병원에서의 물리치료, 일상 생활 동작 훈련.



뇌졸중은 매우 위중한 질환이지만, 전조증상을 인지하고 신속하게 대응하면 후유증을 최소화할 수 있습니다. 규칙적인 운동, 건강한 식단, 금연 등의 예방법을 실천하고, 뇌졸중 증상이 나타났을 때는 즉시 병원을 방문하여 적절한 치료를 받는 것이 중요합니다. 뇌졸중을 예방하고 건강한 삶을 유지하기 위해 꾸준한 관리와 관심이 필요합니다.







